Orthographic/lightbox views

FSLeyes 1.19.0.dev10+gc3a33e578 has two primary 2D views - the orthographic (ortho) view, and the lightbox view.

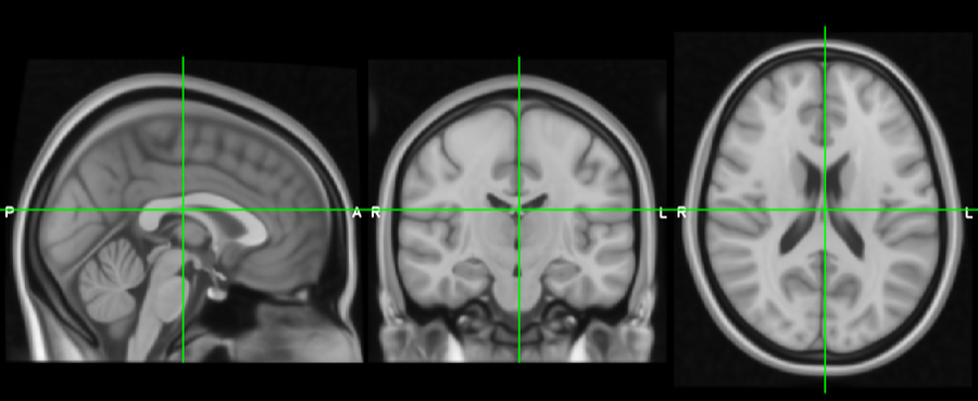
Ortho view

_images/ortho_lightbox_views_ortho.png

The ortho view comprises three canvases, which display your overlays along three orthogonal planes. For a NIFTI image which is oriented acording to the MNI152 template, these canvases correspond to the sagittal, coronal, and axial planes.

Ortho view interaction

You can interact with an ortho view in a number of ways:

  • Click, or click and drag, to change the current location.

  • Right click and drag to draw a zoom rectangle. When you release the mouse, the view will zoom in to that rectangle.

  • Hold down the ⌘ key (OSX) or ⌃ key (Linux), and use your mouse wheel to zoom in and out of a canvas.

  • Hold down the ⇧ key, and use your mouse wheel to change the current location along the depth axis for that canvas (i.e. to scroll through slices).

  • If a mesh overlay is selected, hold down the ⇧ and click the mouse to select the mesh vertex that is nearest to the mouse click.

  • Middle-click and drag, or hold down the ⌥ key and drag with the left mouse button, to pan around.

  • Hold down the ⇧ key and the ⌘/⌃ key, then click and drag the mouse to adjust the brightness and contrast of the currently selected overlay. Moving the mouse vertically will adjust the contrast, and horizontally will adjust the brightness.

  • Hold down the ⇧ key and the ⌘/⌃ key, then right-click and drag the mouse to select a region in the currently selected image. When you release the mouse, the image display range will be set to the minimum/maxmimum voxel intensities within the selected region.

  • You can reset the view to its default zoom/pan settings by pressing the reset_zoom_icon button on the ortho toolbar, or selecting the SettingsOrtho view 1Reset display menu item.

Ortho toolbar

The ortho toolbar contains some controls allowing you to configure an ortho view. More settings are available in the view settings panel.

_images/ortho_lightbox_views_ortho_toolbar.png
  1. View settings panel Clicking the spanner_icon button will open the view settings panel, which contains more options for configuring the ortho view.

  2. Take screenshot: Clicking the camera_icon button allows you to save the current ortho scene as a screenshot.

  3. Toggle canvases These buttons allow you to individually toggle each of the canvases on and off.

  4. Canvas layout These buttons allow you to switch the canvas layout between horizontal, vertical, and a grid layout.

  5. Movie mode Clicking this button will enable movie mode.

  6. Toggle cursor/labels This button allows you to turn the location cursor and anatomical labels on and off.

  7. Reset pan/zoom This button will reset the pan and zoom settings on the three canvases.

  8. Zoom This control allows you to set the zoom level on all three canvases at once.

Ortho view settings

All of the settings which are available on the ortho toolbar, along with some more options, are available in the view settings panel (accessed via the spanner_icon button) [*]:

_images/ortho_lightbox_views_ortho_view_settings.png

Here you can turn on/off anatomical labels and adjust their size, and toggle a gap at the location cursor centre.

The overlay list

The overlay list displays a list of all overlays that you have loaded.

_images/ortho_lightbox_views_overlay_list.png

The overlay list allows you to do the following:

  • Change the currently selected overlay, by clicking on the overlay name.

  • Identify the currently selected overlay (highlighted in blue).

  • Add/remove overlays with the + and - buttons.

  • Change the overlay display order with the ▲ and ▼ buttons.

  • Show/hide each overlay with the eye_icon button, or by double clicking on the overlay name.

  • Link overlay display properties with the chainlink_icon button.

  • Save an overlay if it has been edited, with the floppy_icon button.

  • Left-click and hold the mouse button down on the overlay name to view the overlay source (e.g. its location in the file system).

The location panel

The location panel shows the currently displayed location, relative to the currently selected overlay.

_images/ortho_lightbox_views_location_panel.png

For NIFTI images, the location is displayed in both voxel coordinates and world coordinates [], along with a label which defines the world coordinates for the currently selected overlay - in the example above, the world coordinates for the selected overlay are defined by the MNI152 standard space.

You can use the coordinate controls to change the currently displayed location and, for 4D NIFTI images, use the volume control to change the currently displayed volume. Clicking on the Copy coordinates button will copy the current world and voxel coordinates to the system clipboard.

Warning

Note that FSLeyes starts counting volumes from 0, not 1.

The area on the right of the location panel displays the intensity values at the current location for every visible overlay. For NIFTI images, the corresponding voxel location (and volume index, for 4D images) is also shown.

Location history

Clicking the History tab on the left of the location panel will bring up a list of all of the locations that you have visited, recorded in world coordinates.

_images/ortho_lightbox_views_location_history.png

Clicking on a location will take you back to that location. You can also double-click on an entry to add a comment about that location. You can save the location history out to a text file, and load in a previously saved history using the buttons along the top.

Annotations

The ortho view allows you to add annotations to any of its three canvases - you can add text and simple shapes to a scene. Opening the Annotations panel (SettingsOrtho viewAnnotations) will add the annotations panel to the ortho view:

_images/ortho_lightbox_views_annotations.png

The buttons along the bottom allow you to choose the annotation type - currently you can choose from text, rectangles, lines, arrows, crosshairs and ellipses. After selecting the annotation type, you can click (for text and crosshairs), or click and drag (for rectangles, lines, arrows and ellipses) on an ortho canvas to add the annotation. After you have added an annotation you can right-click and drag on it to move it around, and you can use the controls on the annotation panel to adjust display settings such as colour, opacity, and line width.

Each annotation that you add will appear in the annotations list. You can select an annotation in this list, and use the controls to adjust its display properties. You can also change the order in which the annotations are drawn by selecting an annotation and using the ▲ and ▼ buttons. The - button will remove the currently selected annotation.

If you need to save the annotations you have drawn, you can do so using the floppy_icon button. This will save your annotations to a plain text file. You can load an annotation file back in via the folder_icon button.

Ortho/lightbox view settings

Ortho and lightbox views (and the 3D view) have a view settings panel, which contain various settings. Many of the settings in this panel are common to both ortho and lightbox views, and are described here.

_images/ortho_lightbox_views_view_settings.png

A number of basic and advanced options can be configured through the view settings panel:

  • Show location cursor The location cursor can be toggled on/off.

  • The canvas Background colour can be changed.

  • The canvas Foreground colour can be changed. This controls the font colour. Note that the foreground colour will be automatically adjusted whenever you change the background colour.

  • The Location cursor colour can be changed.

  • If you are using a mac with a retina display, you can turn on the Enable high-DPI rendering option to take full advantage of your display’s resolution.

  • You can change the Display space reference overlay - the display space is further described here.

  • Display in radiological orientation The view orientation can be toggled between radiological and neurological [].

The remaining options in the view settings panel are described below.

Linking views

When you have more than one view open in FSLeyes (e.g. multiple ortho views), you can choose to have various properties between them linked or unlinked.

  • Link overlay order When this setting is selected, the overlay order (as controlled through the overlay list panel) will be the same across linked views. This setting is selected by default.

  • Link location When this setting is selected, the display location will be the same across linked views. This setting is selected by default.

  • Link overlay display settings When this setting is selected, all overlay display settings (e.g. display range, colour map) will be the same across linked views [§]. This setting is unselected by default.

  • Link overlay volume settings When this setting is selected, the volume for 4D overlays will be linked across views.

Movie mode

If the currently selected overlay is a 4D NIFTI image or a mesh with 4D vertex data loaded, turning on movie mode will causes FSLeyes to automatically loop through all of the 3D volumes in the image (or time points in the mesh vertex data). This allows you to quickly scan through 4D images to, for example, visually check for motion artefacts in fMRI time series, or check registration alignment in a collection of T1 MRI images. The Movie update rate setting will adjust the speed at which the movie frames change. You can also change the image axis (X, Y, Z, or time/volume), to loop through via the Movie axis setting.

Note

If movie mode is not working for you, try changing the Synchronise movie updates setting.

Colour bar

You can add a colour bar to ortho and lightbox views, which will display the mapping between voxel intensity values and the colour map for the currently selected overlay []. You can choose to display the colour bar on the top, bottom, left, or right of the canvas, and on which side the colour bar labels are shown.

_images/ortho_lightbox_views_colour_bar.png