Troubleshooting

This page describes some problems which you may encounter when using FSLeyes. If you are having a problem which is not listed here, try searching the FSL mailing list archives to see if somebody else has had the same problem. Failing that, send an email to the mailing list - we will try our best to help!

$FSLDIR is not set

When you first start FSLeyes, you may be presented with the following warning:

_images/troubleshooting_fsldir_not_set.png

This means that FSLeyes has been unable to locate the directory in which FSL is installed, and may mean that your FSL environment is not correctly configured. If you see this warning, you can tell FSLeyes where FSL is located by clicking on the Locate $FSLDIR button, and selecting the FSL installation directory (typically ~/fsl/). Alternately, you can click Skip to ignore the warning- you can still use FSLeyes, however some features (e.g. atlases) will not be available.

FSLeyes has saved the wrong $FSLDIR

FSLeyes keeps track of the location that it thinks FSL is installed in. If you move or re-install FSL, or have multiple versions of FSL installed, and need to update FSLeyes, you can force FSLeyes to forget its settings via the FSLeyesClear FSLeyes settings menu option.

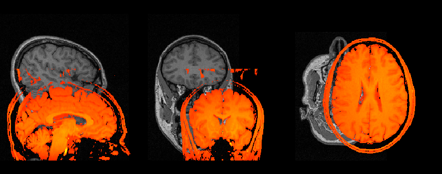
Images are not overlaid on each other correctly

Sometimes when you load some images into FSLeyes, they will be displayed incorrectly - either badly oriented, or mis-aligned:

_images/troubleshooting_misaligned.png _images/troubleshooting_bad_orientation.png

This can mean one of two things:

  1. The images are not aligned, and they are not supposed to be (the top example above). For example, they are from different subjects, modalities, or studies.

  2. The images should be aligned, but there is an error in the orientation information stored in the NIFTI header, for one (or several) of the images (the bottom example above).

The first scenario is not a problem - you can safely load and view data from different subjects and studies into FSLeyes, but be aware that there will be no anatomical correspondence, across the different images, in the world or voxel coordinates.

The second scenario is more serious, as it means that the orientation information for one or more images has somehow been corrupted. The overlay information panel is useful here, as it allows you to check the orientation information of each images, including the sform and qform codes and transformation matrices, and the voxel and world coordinate orientations.

Once you identify the image(s) which is/are causing the problem, you need to re-generate the image (if it was generated as part of a processing pipeline), or correct the orientation information in the NIFTI file header. In the future, you will be able to do this from within FSLeyes, but as of version 1.19.0.dev10+gc3a33e578, you must do this with an external program such as fslcpgeom or fsledithd.

FSLeyes is slow!

Performance of FSLeyes can be poor when it is used on remote systems (e.g. over X11/SSH, or VNC). You may be able to improve the situation by trying some low-performance settings. You can find this setting in the view settings panel (the spanner_icon button), or you can start FSLeyes in low-performance mode from the command-line with the -p option, e.g.:

# Fastest -> 1
fsleyes -p 1 image.nii.gz

# Faster -> 2
fsleyes -p 2 image.nii.gz

# Best looking -> 3
fsleyes -p 3 image.nii.gz

On some systems, the Faster setting may give better performance than the Fastest setting, so try them both, and use the one which works best for your set-up.

Note that this setting will only have an effect on the orthographic and lightbox views. However, the 3D view has some additional settings which can be tweaked to improve performance, specifically the Quality and Number of samples settings. Refer to the page on the 3D view for details.

My image is tilted/oblique! How do I make it oriented/rectangular?

Open the view settings panel (the spanner_icon button) and set the Display space to the image which you want oriented.

There are weird striping artifacts in my image!

_images/troubleshooting_striping.png

Those are slice boundaries - your image is being displayed obliquely to the display, and FSLeyes is using nearest-neighbour interpolation to draw the image to the screen. Change the interpolation (in the overlay display panel) to linear or spline.

My images are aligned in FSLeyes, but other FSL tools complain about orientation!

FSLeyes projects all of the overlays that you load into a common display coordinate system, regardless of their dimensions, orientation, or field of view. So two images which have a different resolution or orientation may appear to be aligned when you view them in FSLeyes.

However, many FSL tools (and many neuroimage analysis tools) require input images to be voxel-aligned, so that the same voxel from each input image corresponds to the same anatomical location.

When you load images with different orientations into FSLeyes, a warning will appear in the location panel:

_images/troubleshooting_display_space_warning.png

If you see this warning, and you intend to use the images you are viewing with any FSL processing or analysis tools, you may need to resample your images into the same space - you can do this within FSLeyes via the Resample image tool, using the Resample to reference option, or on the command-line using flirt with the -applyxfm and -usesqform options.

You can read more about the different coordinate systems used by FSLeyes here.

Movie mode gives me a black/flickering screen

Try changing the Synchronise movie updates setting, in the view settings panel (the spanner_icon button).

Line vectors/tensors/fibre orientation distributions are left/right flipped

Occasionally you might load a vector image (or tensor or SH image) into FSLeyes, only to find that the orientation of the vectors is incorrectly inverted along the left-right axis. This can occur because different software tools may output vector image data in different ways, depending on the image orientation.

_images/troubleshooting_line_vector_orientation.png

For images which are stored radiologically (with the X axis in the voxel coordinate system increasing from right to left, the top image), FSL tools such as dtifit will generate vectors which are oriented according to the voxel coordinate system.

However, for neurologically stored images (X axis increasing from left to right), FSL tools generate vectors which are radiologically oriented (the middle image), and thus are inverted with respect to the X axis in the voxel coordinate system. Therefore, in order to correctly display vectors from such an image, we must flip each vector about the X axis (the bottom image).

Vector overlays have a L/R orientation flip setting, which allows you to flip vectors (or tensor ellipsoids, or FODs) along the left/right axis. FSLeyes will automatically adjust this setting based on the orientation of the image data, and will correctly display all vector images that have been generated by FSL tools.

However, if you are working with vector (or tensor, or SH) data generated by a different tool, you may need to flip the orientation, via the L/R orientation flip setting in the overlay display panel, in order to display the data correctly.

The values reported in the atlas panel are different from those in the atlas image!

_images/troubleshooting_atlas_different_values.png

Sometimes when you are using the atlas panel to inspect different brain regions, the reported values may differ from the values you see in the atlas image. This is because there are often different versions of each FSL atlas, sampled at different resolutions (e.g. 1mm3 and 2mm3).

For example, in the screenshot above the atlas panel reports that the voxel under the cursor has a 53% probability of being in the Frontal Pole (as defined by the Harvard-Oxford Cortical Structural Atlas). However, in the location panel, the value at the current voxel is reported as being 49.

This discrepancy is due to the fact that the FSLeyes atlas panel will always report regions and region probabilities values from the atlas version with the highest resolution; if you are viewing a different version of the atlas, the values that you see in the image (reported in the location panel) may not be identical to those reported in the atlas panel.

macOS - Keyboard navigation doesn’t work in the IC classification panel

Under macOS, you may have focus-related issues while navigating around the IC classification panel with the keyboard.

If this is happening to you, you may need to enable Full keyboard access for the MELODIC classification panel to work with keyboard navigation/focus. This setting can be changed through System PreferencesKeyboardShortcuts, and changing Full Keyboard Access to All controls.

macOS - I can’t start FSLeyes from IPython/Jupyter Notebook

If you are using macOS, and you are using FSLeyes from a conda environment, you may encounter this error when trying to use FSLeyes:

This program needs access to the screen. Please run with a Framework
build of python, and only when you are logged in on the main display
of your Mac.

This is due to a problem with the way that conda interacts with macOS. If you are using python/ipython, you can work around the problem by using pythonw instead of python. If you are using ipython, you can run it like so:

pythonw $(which ipython)

If you are using a Jupyter Notebook, things are a little bit more complicated. You will need to define a custom Jupyter kernel specification file, which uses pythonw. The easiest way to do this is to create a copy of the default kernel specification, e.g:

cp -r [conda environment location]/share/jupyter/kernels/python3 \
      [conda environment location]/share/jupyter/kernels/python3w

Then open [conda environment location]/share/jupyter/kernels/python3w/kernel.json in a text editor, and change the first element in the argv list to pythonw instead of python. For example, if the contents of kernel.json look like this:

{
 "argv": [
  "/Users/paulmc/miniconda3/envs/fsleyes/bin/python",
  "-m",
  "ipykernel_launcher",
  "-f",
  "{connection_file}"
 ],
 "display_name": "Python 3",
 "language": "python"
}

Change it to this:

{
 "argv": [
  "/Users/paulmc/miniconda3/envs/fsleyes/bin/pythonw",
  "-m",
  "ipykernel_launcher",
  "-f",
  "{connection_file}"
 ],
 "display_name": "Python 3 (GUI)",
 "language": "python"
}

The next time you start a new Jupyter notebook, select the Python 3 (GUI) kernel.

Running FSLeyes remotely

FSLeyes is capable of running on remote servers, over SSH/X11 connections, or from within VNC or other remote desktop tools. However, you may need to configure your environment before FSLeyes will work correctly.

Note

This web page is a very good resource to consult if you are having trouble getting FSLeyes working over a SSH connection.

SSH/X11, VNC, NoMachine, etc - FSLeyes won’t start

If you are having trouble running FSLeyes on a remote server, there are several things you may need to check.

SSH/X11 - wxPython version

If you are using ssh -X or ssh -Y to connect to a remote server, be aware that recent versions of wxPython (the GUI toolkit upon which FSLeyes is based) may not support the GLX protocol (OpenGL over SSH/X11). If you have installed FSLeyes as part of FSL, the bundled wxPython does support GLX. However, this may not be the case if you have installed FSLeyes through pip,

In this case, you will need to use an alternative method of connecting to your server (e.g. VNC), or to install an older version of wxPython (4.0.*) before FSLeyes will work. Alternatively, you can force software-based rendering by setting the LIBGL_ALWAYS_SOFTWARE=1 environment variable.

SSH/X11 - indirect rendering via GLX

If you are using ssh -X or ssh -Y to connect to a remote server, you must make sure that the X server on your local machine allows indirect rendering via GLX. The way to go about doing this depends on your operating system - see below if you are using a mac with XQuartz. If your local machine is using Linux, you may find a solution on one of these web pages:

After you have enabled indirect rendering, if you have glxinfo or glxgears installed, check to see that they work. Try running them both with the LIBGL_ALWAYS_INDIRECT variable set, and un-set, e.g.:

unset LIBGL_ALWAYS_INDIRECT
glxinfo
glxgears

# or, if the above doesn't work

export LIBGL_ALWAYS_INDIRECT=1
glxinfo
glxgears

If glxinfo or glxgears doesn’t work, then FSLeyes is unlikely to work.

If you have older versions of mesa installed on either the local or remote machines, update them to the latest available using your OS package manager. Also make sure that your X server (which runs on your local machine, e.g. XQuartz on macOS) is updated to the latest avaialble.

After upgrading your X Server, you may need to re-enable indirect rendering via GLX, as outilned above (or below, if you are using macOS and XQuartz).

If, after doing all of the above, FSLeyes still won’t start, or if you are running FSLeyes within a VNC session, you may need to force software-based rendering:

export LIBGL_ALWAYS_SOFTWARE=1
fsleyes

Options are missing/disabled/not working!

Sometimes, in a remote desktop environment, FSLeyes is not able to provide all of the features that it can when running locally. When you run FSLeyes over X11, the following options will not be available:

XQuartz - FSLeyes doesn’t start, and just shows an error

Under XQuartz 2.7.9 and newer, FSLeyes may not start, and you may see the following error:

Gdk-ERROR **: The program 'fsleyes' received an X Window System error.
This probably reflects a bug in the program.
The error was 'BadValue (integer parameter out of range for operation)'.
  (Details: serial 695 error_code 2 request_code 149 minor_code 24)
  (Note to programmers: normally, X errors are reported asynchronously;
   that is, you will receive the error a while after causing it.
   To debug your program, run it with the --sync command line
   option to change this behavior. You can then get a meaningful
   backtrace from your debugger if you break on the gdk_x_error() function.)
aborting...

This is likely due to a configuration issue with XQuartz - you will be unable to run any OpenGL application, not just FSLeyes. Fortunately, there is a solution: if you are using XQuartz 2.7.10 or newer, run this command (locally, not within the SSH session):

defaults write org.macosforge.xquartz.X11 enable_iglx -bool true

if you are using XQuartz 2.8.0 or newer, run this command:

defaults write org.xquartz.X11 enable_iglx -bool true

If you are using XQuartz 2.7.9, and you cannot upgrade to a newer version, you will need to edit /usr/X11R6/bin/startx (you will probably need administrator privileges). There is a section in this script, around line 100, which configures a variable called defaultserverargs. Immediately after this section, add the following line:

defaultserverargs="$defaultserverargs +iglx"

After making this change, restart XQuartz - FSLeyes should now start. If FSLeyes is still not working, the problem may be with the remote server - refer to the information on Running FSLeyes remotely, above.

XQuartz - keyboard shortcuts don’t work

If you are using XQuartz, you may need to select the Option keys send Alt_L and Alt_R option in the XQuartz Preferences dialog before keyboard shortcuts will work in FSLeyes.